Many anticorruption advocates are excited about the prospects that “big data” will help detect and deter graft and other forms of malfeasance. But good data alone isn’t enough. To be useful, there must be a group of interested and informed users, who have both the tools and the skills to analyse the data to uncover misconduct, and then lobby governments and donors to listen to and act on the findings.
The human body comprises an incredibly large number of cells. Estimates place the number somewhere in the region of 70 trillion, and that’s even before taking into account the microbes and bacteria that live in and around the body. Yet inside each cell, a myriad of complex processes occur to conceive and sustain these micro-organisms.
Michael Bonsall, Professor of Mathematical Biology at Oxford University's Department of Zoology, discusses his research in population biology, what it tells us about species evolution and, in particular, why grandmothering is important to humans. His research was done in conjunction with Oxford Mathematician Jared Field.
"What is mathematical biology?
As part of our series of research articles focusing on the rigour and intricacies of mathematics and its problems, Oxford Mathematician James Sparks discusses his latest work.
"Two great successes of 20th century theoretical physics are Quantum Field Theory and General Relativity.
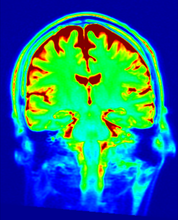
Oxford Mathematicians Tamsin Lee and Peter Grindrod discuss their latest research on the brain, part of our series focusing on the complexities and applications of mathematical research and modelling.
As part of our series of research articles deliberately focusing on the rigour and intricacies of mathematics and its problems, Eminent Oxford Mathematician and number theorist Roger Heath-Brown discusses his latest work.
"Since retiring last September I've had plenty of time for research. Here is something I've been looking into.
From studying the rhythmic movements, researchers at the Universities of York, Birmingham, Oxford and Kyoto University, Japan, have developed a mathematical formula which makes it easier to understand and predict how sperm make the journey to fertilise an egg. This knowledge will help scientists to gauge why some sperm are successful in fertilisation and others are not.
Oxford Mathematician Neave O’Clery recently moved to Oxford from the Center for International Development at Harvard University where she worked on the development of mathematical models to describe the processes behind industrial diversification and economic growth. Here she discusses how network science can help us understand the success of cities, and provide practical tools for policy-makers.
A resting frog can deform the lily pad on which it sits. The weight of the frog applies a localised load to the lily pad (which is supported by the buoyancy of the liquid below), thus deforming the pad. Whether or not the frog knows it, the physical scenario of a floating elastic sheet subject to an applied load is present in a diverse range of situations spanning a spectrum of length scales. At global scales the gravitational loading of the lithosphere by mountain ranges and volcanic sea mounts involve much the same physical ingredients.
The classic picture of how spheres deform (e.g. when poked) is that they adopt something called 'mirror buckling' - this is a special deformation (an isometry) that is geometrically very elegant. This deformation is also very cheap (in terms of the elastic energy) and so it has long been assumed that this is what a physical shell (e.g. a ping pong ball or beach ball) will do when poked. However, experience shows that actually many shells don’t adopt this state - instead, beach balls wrinkle and ping pong balls crumple.
Cancer is a complex and resilient set of diseases and the search for a cure requires a multi-strategic approach. Oxford Mathematicians Lucy Hutchinson, Eamonn Gaffney, Philip Maini and Helen Byrne and Jonathan Wagg and Alex Phipps from Roche have addressed this challenge by focusing on the mathematical modelling of blood vessel growth in cancer tumours.
New methods for localising radiation treatment of tumours depend on estimating the spatial distribution of oxygen in the tissue. Oxford Mathematicians hope to improve such estimates by predicting tumour oxygen distributions and radiotherapy response using high resolution images of real blood vessel networks.
Systemic risk, loosely defined, describes the risk that large parts of the financial system will collapse, leading to potentially far-reaching consequences both within and beyond the financial system. Such risks can materialize following shocks to relatively small parts of the financial system and then spread through various contagion channels. Assessing the systemic risk a bank poses to the system has thus become a central part of regulating its capital requirements.
The International Congresses of Mathematicians (ICMs) take place every four years at different locations around the globe, and are the largest regular gatherings of mathematicians from all nations. However, as much as the assembled mathematicians may like to pretend that these gatherings transcend politics, they have always been coloured by world events: the congresses prior to the Second World War saw friction between French and German mathematicians, for example, whilst Cold War political tensions likewise shaped the conduct of later congresses.
In an interview with Rolling Stone Magazine in 1965, Bob Dylan was pushed to define himself: Do you think of yourself primarily as a singer or a poet? To which, Dylan famously replied: Oh, I think of myself more as a song and dance man, y’know. Dylan’s attitude to pigeonholing resonates with many applied mathematicians. I lack the coolness factor of Dylan, but if pushed about defining what kind of mathematician I am, I would say: Oh, I think myself more as an equation and matrix guy, y’know.
As part of our series of research articles deliberately focusing on the rigour and intricacies of mathematics and its problems, Oxford Mathematician Eduardo Casali discusses his work.
As part of our series of research articles deliberately focusing on the rigour and intricacies of mathematics and its problems, Oxford Mathematician David Seifert discusses his and his collaborator Catalin Badea's work.